
ولد في عام 1985 في محافظة أكساراي. تخرج من كلية طب الأسنان بجامعة غازي عام 2008.
أدار عياداته الخاصة في أكساراي بين عامي 2008-2009، وفي أنقرة بين عامي 2009-2012. في الوقت نفسه، تلقى تدريباً في زراعة الأسنان والجراحة في عيادة جراحية خاصة في أنقرة بين عامي 2011-2012.
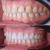
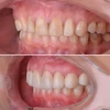
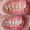
بعد انتقاله إلى إسطنبول عام 2012، بدأ العمل في عيادة Citydent الخاصة لصحة الفم والأسنان. بعد أن استمر في أعماله التي تركز أساساً على التركيبات التجميلية والجراحية وفوق الزرعات لمدة خمس سنوات، انضم إلى عيادة Novadent لطب الأسنان في عام 2018.
مجالات الاهتمام
صرير الأسنان
تسوس الأسنان
آلام الأسنان
رائحة الفم الكريهة
تزاحم الأسنان
الأسنان
أقل
مجالات التخصص
طبيب أسنان