
د. تاجيتتين نصرت تاتوملو طبيب أسنان
مجالات الاهتمام
ألم الأسنان
تسوس الأسنان
فقدان الأسنان
نزيف اللثة
صرير الأسنان
اعوجاج الأسنان
أمراض الأسنان واللثة
التهاب ما حول الزرعة (Periimplantitis)
التهاب الغشاء المخاطي حول الزرعة (Peri-Implant Mucositis)
نقص نمو منطقة الأسنان والفك والوجه
أكياس الفك
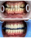
تطبيقات الزركونيوم
علاج الزرعات
تطبيقات البورسلين
العدسات اللاصقة التجميلية (Laminate veneer)
مجالات الاختصاص
طبيب أسنان