
د. حاجر إسفد أليريس أوغلو طبيبة أسنان
ألم الأسنان
تسوس الأسنان
نقص الأسنان
نزيف اللثة
صرير الأسنان
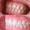
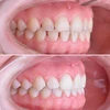
ازدحام الأسنان
أمراض الأسنان واللثة
التهاب ما حول الزرعة السنية
التهاب مخاطية ما حول الزرعة السنية
نقصان النمو في منطقة الفك والوجه
أكياس الفك
تطبيقات الزركونيوم
علاج الزرعات السنية
تطبيقات البورسلين
فينير اللومنات
مجالات التخصص
طبيبة أسنان