
عيادة د. أوزم. إكين جينال لطب الأسنان؛ هي عيادة صحية خاصة للأسنان يقدم فيها طبيب أسنان متخصص العديد من العلاجات، منها علاج الجذور، الزراعة، علاج أمراض اللثة، الإجراءات الجراحية، تقويم الأسنان، حشوات الأسنان، الحشوات، أطقم الأسنان، التلبيسات والجسور (الزركونيوم، الفينير، البورسلين، البورسلين الكامل)، تبييض الأسنان، طب أسنان الأطفال، خلع الأسنان، تنظيف الجير، علاجات الأسنان المصنوعة من البورسلين والزركونيوم وغيرها الكثير.
مجالات الاهتمام
ألم الأسنان
تسوس الأسنان
فقدان الأسنان
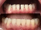
نزيف اللثة
صرير الأسنان
اعوجاج الأسنان
أمراض الأسنان واللثة
التهاب دواعم السن حول الزرعات (Periimplantitis)
التهاب مخاطية ما حول الغرسات (Peri-Implant Mucositis)
قصور نمو منطقة الأسنان والفكين والوجه
أكياس الفك
تطبيقات الزركونيوم
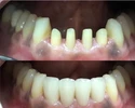
علاج الزراعة السنية
تطبيقات البورسلين
الفينير (القشور الخزفية)
مجالات التخصص
طبيب أسنان