
كلية طب الأسنان، جامعة إسطنبول – تشابا، عام 2003
مجالات الاهتمام
آلام الأسنان
تسوس الأسنان
فقدان الأسنان
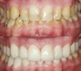
نزيف اللثة
صرير الأسنان
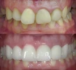
ازدحام الأسنان
أمراض الأسنان واللثة
التهاب ما حول الزرعة
التهاب مخاطية ما حول الزرعة
نقص النمو في مناطق الأسنان والفك والوجه
أكياس الفك
تطبيقات الزركونيوم
علاج الزرع (الزرعات السنية)
تطبيقات البورسلين
القشرة التجميلية (لامينيت فينير)
مجالات التخصص
طبيب أسنان