
د. يونس آيدين
مجالات الاهتمام
وجع الأسنان
تسوس الأسنان
فقدان الأسنان
نزيف اللثة
صرير الأسنان
اعوجاج الأسنان
أمراض الأسنان واللثة
التهاب ما حول الزرعة السنية (Periimplantitis)
التهاب الغشاء المخاطي حول الزرعة (Peri-Implant Mukozitis)
نقص نمو منطقة الأسنان والفك والوجه
أكياس الفك
تطبيقات الزركونيوم
علاج الزرعات السنية
تطبيقات البورسلان
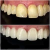
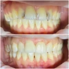
فينير اللامينيت
مجالات التخصص
طبيب أسنان