
تخرج من مدرسة سانت بينوا الفرنسية (ليسيه سانت بينوا بروفيدانس). في عام 1989، أكمل تعليمه في كلية طب الأسنان بجامعة إسطنبول وحصل على شهادات في التشريح المقارن والكيمياء الحيوية.
في عام 1990، أكمل درجة الماجستير مع جائزة التميز في قسم جراحة الفك والوجه مع البروفيسور الدكتور مانويل شاناڤاز والبروفيسور إم. دونازان في قسم زراعة الأسنان بجامعة ليل في فرنسا.
أصبح الدكتور دميرجي أوغلو عضواً في ICOI في عام 1993، وحصل في نفس العام على منحة ICOI.
أسس مركز نيشانتاشي لزراعة الأسنان وطب الأسنان في عام 1994. وفي عام 2004، أسس مركز دينتاكاديميا للتدريب والتطبيقات، والذي قام من خلاله بتقديم التدريب المهني الشخصي في مجال زراعة الأسنان لأكثر من 1000 طبيب أسنان.
مجالات الاهتمام
صرير الأسنان
ألم الأسنان
نقص الأسنان
نزيف اللثة
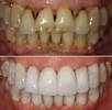
أمراض الأسنان واللثة
رائحة الفم الكريهة
اعوجاج الأسنان
التهاب ما حول الزرعة
نقص النمو في منطقة الأسنان والفكين والوجه
معالجة الجذور (إندو دونتيا)
علاج أمراض اللثة (بيريدونتولوجي)
الكحت تحت اللثة
التحميل الفوري
تحميل الزرعة مباشرة
زراعة الأسنان الفموية
الخبرات
عيادة عَرْزُو دميرجي أوغلو
المنشورات
إدارة الأنسجة الرخوة حول الزرعة: مؤتمر توافق الآراء في القاهرة
الحفر التقليدي مقابل إعداد مكان الزرعة بالموجات فوق الصوتية: دراسة سريرية بعد 4 أسابيع من إدخال الزرعات المخروطية.
المدارس / التعليم
مدرسة سانت بينوا الفرنسية 1976-1984
كلية طب الأسنان، جامعة إسطنبول 1984-1989
كلية الطب بجامعة ليل، قسم جراحة الفك والوجه وزراعة الأسنان 1989-1993
مجالات التخصص
طبيب أسنان