
تخرجت أخصائية دكتورة كبرى قاسم من كلية طب الأسنان بجامعة إسطنبول. وأتمت كبرى قاسم تخصصها في قسم أمراض اللثة بجامعة سلجوق، وتقدم خدماتها لمرضاها في عيادة بيستي بيغوم لتقويم الأسنان وزراعة الأسنان وصحة الفم والأسنان.
مجالات الاهتمام
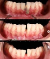
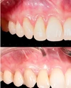
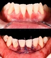
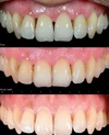
انحسار اللثة
التهاب اللثة
أمراض الأسنان واللثة
التهاب اللثة (جينجيفيت)
نزيف اللثة
الابتسامة اللثوية
صرير الأسنان
التهاب دواعم السن (بيريودنتيتيس)
طحن الأسنان
جراحة أمراض اللثة
الخبرات
عيادة بيستي بيغوم لتقويم الأسنان وزراعة الأسنان وصحة الفم والأسنان
قسم أمراض اللثة بجامعة سلجوق
المدارس / التعليم
كلية طب الأسنان بجامعة إسطنبول
قسم أمراض اللثة بجامعة سلجوق
مجالات التخصص
أمراض اللثة (بيريودونتولوجي)
طبيبة أسنان