
طبيب الأسنان رها تكغوز وُلد في 14 مارس 1976 في إسطنبول. تخرج من ثانوية شيشلي تيراكي عام 1992، ومن كلية طب الأسنان بجامعة إسطنبول عام 2000. حصل على تدريب في زراعة الأسنان عام 2009.
بعد التخرج عمل الدكتور رها تكغوز مع العديد من أطباء الأسنان، كما شارك في تنظيم العديد من المؤتمرات الدولية بالتعاون مع اتحاد أطباء الأسنان التركي وتولى رئاسة اللجنة الفنية في المؤتمر العالمي 101 لطب الأسنان.
مجالات الاهتمام
التسوس
التهابات حول الغرسات
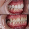
نزيف اللثة
ألم الأسنان
فقدان الأسنان
التهاب مخاطية حول الغرسة
صرير الأسنان (احتكاك الأسنان)
نقص النمو في منطقة الأسنان والفك والوجه
تزاحم الأسنان
التهاب ما حول التاج
تغير لون اللثة
كيسات الفك
رائحة الفم (الهاليتوسيس)
مجالات التخصص
طبيب أسنان