
فتحت عيني على الحياة في أنطاليا عام 1983. درست الثانوية في ثانوية محمود جلال أونال الخاصة للعلوم، ثم التحقت بكلية طب الأسنان بجامعة إسطنبول، المعروفة أيضاً باسم تشابا، في عام 2000. بعد تخرجي عام 2005، بدأت الدكتوراه في قسم أمراض اللثة في نفس الكلية. بعد مناقشة أطروحة الدكتوراه التي تناولت العلاقة النظامية بين مرض الانسداد الرئوي المزمن (COPD) وأمراض اللثة، بدأت بممارسة مهنتي كاختصاصي أمراض اللثة في عيادة بانوراما لصحة الفم والأسنان منذ عام 2011. كما أعمل بدوام جزئي كاختصاصي أمراض اللثة في مركز هوسبيادنت لصحة الفم والأسنان ومركز إنجي لصحة الفم والأسنان منذ عام 2012.
مجالات الاهتمام
صرير الأسنان
تسوس الأسنان
ألم الأسنان
فقدان الأسنان
نزيف اللثة
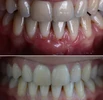
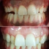
أمراض الأسنان واللثة
رائحة الفم الكريهة
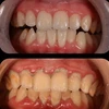
اعوجاج الأسنان
التهاب النسج حول الزرع (Periimplantitis)
قصور نمو منطقة الأسنان والفكين والوجه
التهاب ما حول التاج (Perikoronitis)
كيسات الفك
التهاب مخاطية ما حول الزرع (Peri-Implant Mukozitis)
ترابط الأسنان (Bonding)
علاج الجذور (Endodonti)
الأسنان المفصولة
علاج أسنان الأطفال
اضطرابات الفك
أمراض اللثة (Periodontoloji)
الجراحة بالليزر
الجير السني
كسر الأسنان
طب أسنان الأطفال
اعوجاج الأسنان
اضطرابات المفصل الصدغي الفكي (TME)
الأسنان المصابة (Lezyonlu)
كسور الأسنان
ضغط الأسنان
القروح الفموية (Aft)
تقرحات الفم
اللوكوبلاكية
نزيف اللثة
التهاب دواعم السن (Periodontitis)
المدارس / التعليم
كلية طب الأسنان بجامعة إسطنبول - 2005
كلية طب الأسنان بجامعة إسطنبول قسم أمراض اللثة - 2011
مجالات التخصص
طبيب أسنان
أمراض اللثة (Periodontoloji)