
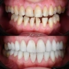
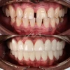
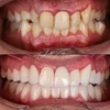
د. أوميت توك طبيب أسنان يعمل في إسطنبول.
مجالات الاهتمام
تسوس الأسنان
صرير الأسنان
فقدان الأسنان
ألم الأسنان
نزيف اللثة
أمراض الأسنان واللثة
رائحة الفم الكريهة
تزاحم الأسنان
التهاب ما حول الزرعة السنية (Periimplantitis)
نقص نمو الفكين ومنطقة الوجه
الخبرات
عيادة الأسنان الخاصة كيراش
Dent 360
الدراسة / التعليم
كلية طب الأسنان بجامعة إسطنبول (إسطنبول، 2005)
مجالات التخصص
طبيب أسنان