
د. إبراهيم تشيفتشي طبيب أسنان
مجالات الاهتمام
ألم الأسنان
تسوس الأسنان
فقدان الأسنان
نزيف اللثة
صرير الأسنان
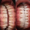
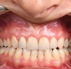
اعوجاج الأسنان
أمراض الأسنان واللثة
التهاب ما حول الزرعة السنية (Periimplantitis)
التهاب الغشاء المخاطي حول الزرعة السنية (Peri-İmplant Mukozitis)
نقص نمو منطقة الأسنان والفك والوجه
أكياس الفك
تطبيقات الزركونيوم
علاج الزرع السني
تطبيقات البورسلين
فينير اللومنات (Laminate veneer)
مجالات التخصص
طبيب أسنان