
بعد تخرجها من مدرسة أنطاكيا الخاصة آتا في عام 1991، أكملت دراستها في كلية طب الأسنان بجامعة إسطنبول. بعد التخرج، بدأت حياتها العملية كطبيبة أسنان في نيشان تاشي. ركزت أعمالها في مجالات العلاج التعويضي وطب الأسنان التجميلي. في عام 2015 شاركت في التأسيس الجديد لشركة Septum Dental.
هي عضو في غرفة أطباء الأسنان في إسطنبول (İDO) وأكاديمية طب الأسنان التجميلي (EDAD).
متزوجة وأم لطفلين. تجيد اللغات الإنجليزية والفرنسية والعربية.
مجالات الاهتمام
تسوس الأسنان
صرير الأسنان
ألم الأسنان
فقدان الأسنان
نزيف اللثة
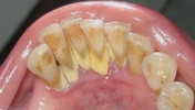
أمراض الأسنان واللثة
رائحة الفم الكريهة
مجالات التخصص
طبيبة أسنان