
بعد إكمال تعليمه الابتدائي والثانوي والثانوي العام في قونيا، تخرج من كلية طب الأسنان بجامعة إسطنبول عام 1998.
عمل في مركز كالاميش للتجميل ومستشفى الأناضول تشينار الخاص، ثم واصل مهنته لسنوات طويلة في عيادة الأسنان بمستشفى يوزيل الخاص بنديك (المعروف سابقاً باسم مستشفى ننه خاتون ومستشفى ميديسن آسيا الخاص).
تقدم د. ديــدم تشوبان حالياً خدمات صحة الفم والأسنان في عيادتها الخاصة في بنديك كاينارجه.
مجالات الاهتمام
أمراض الأسنان واللثة
ألم الأسنان
تسوس الأسنان
نزيف اللثة
نقص الأسنان
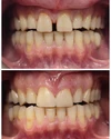
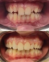
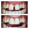
ازدحام الأسنان
صرير الأسنان
رائحة الفم
التهاب ما حول الزرعات (Periimplantitis)
قصور نمو الأسنان والفك والوجه
التهاب ما حول تاج السن (Perikoronitis)
أكياس الفك
التهاب الغشاء المخاطي حول الغرسة (Peri-Implant Mukozitis)
الحزاز المسطح (Liken Planus)
الترابط (Bonding)
علاج أسنان الأطفال
علاجات العصب (إندو دونتية)
الأسنان المتفرقة
اضطرابات الفك
أمراض اللثة (بيرودونتولوجي)
الجراحة بالليزر
جير الأسنان
كسر الأسنان
طب أسنان الأطفال (بيدودونتيا)
الأسنان المعوجة
التخدير الواعي (Sedasyon)
انقطاع النفس النومي
الأسنان المصابة (Lezyonlu Diş)
كسور الأسنان
ضغط الأسنان
القلاع الفموي
قروح الفم
الطلوان الأبيض (Leukoplakia)
الخبرات
مركز كالاميش للتجميل: 1998-2000
مستشفى الأناضول تشينار الخاص (مستشفى ابن سينا): 2000-2003
مستشفى يوزيل الخاص بنديك: 2003-2015
المدارس / التعليم
كلية طب الأسنان بجامعة إسطنبول (1993-1998)
مجالات التخصص
طبيب أسنان