
بعد تخرجها من كلية طب الأسنان بجامعة إسطنبول عام 2016، بدأت دراسة الدكتوراه في قسم العلاج التعويضي للأسنان ضمن نفس الكلية. بعد أن عملت في العديد من العيادات العامة والخاصة، افتتحت عيادتها الخاصة في سيلفري منذ عام 2022.
مجالات الاهتمام
رائحة الفم الكريهة
الأسنان المطمورة
صرير الأسنان
تقرحات الفم (الأفت)
اضطرابات المفصل الفكي الصدغي (TMJ)
تقرحات الفم
التهاب ما حول الزرعة
أكياس الفك
تسوس الأسنان
الأسنان المكسورة
الجز على الأسنان
الأسنان المصابة (المريضة)
التهاب التاج المحيط
الأسنان المتفرقة
نزيف اللثة
فقدان الأسنان
الجير السني
كسور الأسنان
أمراض الأسنان واللثة
ألم الأسنان
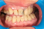
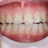
اعوجاج الأسنان
المدارس / الدورات التعليمية
كلية طب الأسنان بجامعة إسطنبول
مجالات التخصص
طبيب أسنان