
أنهى الدكتور سيركان غولتش دراسته لدرجة الماجستير في كلية طب الأسنان بجامعة تشوكوروفا في عام 2005، وتم قبوله في نفس العام في برنامج الدكتوراه في قسم طب أسنان الأطفال في نفس الكلية.
منذ عام 2013، يعمل كطبيب أسنان أطفال في مستشفيات مجموعة أكيبديم الصحية في إسطنبول (مستشفيات فوليا، باكيركوي، أتاكنت، انترناشونال، بيلكدوزو).
حالياً، يقدم خدماته في عيادة شيشلي كونفيدنت لصحة الفم والأسنان.
مجالات الاهتمام
صرير الأسنان
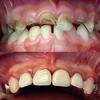
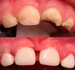
تسوس الأسنان
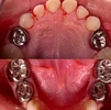
أمراض الأسنان واللثة
نزيف اللثة
ألم الأسنان
أمراض الأسنان
الخبرات
قسم طب أسنان الأطفال، كلية طب الأسنان، جامعة تشوكوروفا
مجموعة أكيبديم الصحية
مركز كونفيدنت لصحة الفم والأسنان
المدارس / التعليم
كلية طب الأسنان، جامعة تشوكوروفا
مجالات التخصص
طب أسنان الأطفال (طب أسنان الأطفال)
طبيب أسنان