
عيادة حُسنية إكنجي لتقويم الأسنان مُصممة خصيصًا لتقديم خدمات علاج تقويم الأسنان فقط. هدفنا هو تطبيق علاجات تقويم الأسنان بدقة في جميع الأعمار، بما في ذلك الحالات المتقدمة من التقويم. العيادة مجهزة بأنظمة التصوير الرقمي وبرامج العلاج الرقمية. يتم إعداد خطة العلاج الخاصة بالمريض بشكل رقمي ومُخصص له وتُعرض عليه شخصيًا.
مجالات الاهتمام
علاج جذور الأسنان (إندودونتيا)
أمراض اللثة (بيريودونتولوجيا)
صرير الأسنان
تسوس الأسنان
ألم الأسنان
نقص الأسنان
نزيف اللثة
رائحة الفم الكريهة
تلبيسات الأسنان (بوندينج)
ضغط الأسنان
كسر الأسنان
الأسنان ذات الآفات (المصابة)
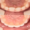
تزاحم الأسنان
الجير السني
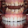
تصميم الابتسامة
طب الأسنان التجميلي
علاج الأسنان الترميمي
الجراحة
علاج الأسنان التعويضي (التركيبي)
مجالات التخصص
طبيب أسنان