Adwhit Logo
قم بتحميل التطبيق
ليصلكم كل جديد من عروض أدويت
الدكتورة نيلغون ألبر

تكسر الأسنان

دخلت الدكتورة نيلغون ألبر كايغوزوز مجال طب الأسنان من خلال دراستها في جامعة مرمرة التي بدأت بين عامي 2008 و2014. واصلت مسيرتها المهنية في طب الأسنان في عام 2018 من خلال إكمال تدريبها التخصصي في قسم طب الأسنان التعويضي بكلية طب الأسنان بجامعة إسطنبول.

وفرت لها السنوات التي قضتها في عيادة صحة الفم والأسنان "من 7 إلى 70"، حيث خطت أولى خطواتها في مسيرتها المهنية بين عامي 2014 و2016، الفرصة للتفاعل المباشر مع مجموعة واسعة من المرضى واكتساب الخبرة في العديد من مجالات صحة الأسنان. ثم قامت بتوسيع خبرتها من خلال العمل في عيادة فاتح لصحة الفم والأسنان من 2016 إلى 2018.

ألم الأسنان

التهاب ما حول الزرعات السنية

صرير الأسنان

التهاب مخاطية ما حول الزرعات السنية

نقص الأسنان

نقص نمو الأسنان والفك ومنطقة الوجه

تسوس الأسنان

نزيف اللثة

ازدحام الأسنان

رائحة الفم الكريهة

كيسات الفك

أمراض الأسنان واللثة

التهاب التاج المغطى جزئياً (پيريكورونيتيس)

التقييم: 0 / 5
0 عملية تقييم
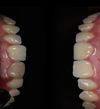
الصور
الاسم الكامل
الدكتورة نيلغون ألبر

العمر
38 سنة

الخبرة
5 - 10 سنة

العنوان
İstanbul / Pendik / Esenyali mah.
الرئيسية
حسابي
اضافة عرض