
د. أوزلم كوزو طبيبة أسنان
مجالات الاهتمام
ألم الأسنان
تسوس الأسنان
نقص الأسنان
نزيف اللثة
صرير الأسنان
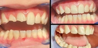
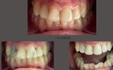
ازدحام الأسنان
أمراض الأسنان واللثة
التهاب النسج حول الزرعة السنية (Periimplantitis)
التهاب مخاطية ما حول الزرعة (Peri-İmplant Mukozitis)
نقص نمو منطقة الأسنان والفك والوجه
أكياس الفك
تطبيقات الزركونيوم
علاج الزرعات السنية (الزرع السني)
تطبيقات البورسلين
تغطية الفينير اللاصقة (Laminate veneer)
مجالات التخصص
طبيبة أسنان