
د. نجيب شين طبيب أسنان
مجالات الاهتمام
ألم الأسنان
تسوس الأسنان
فقدان الأسنان
نزيف اللثة
صرير الأسنان
اعوجاج الأسنان
أمراض الأسنان واللثة
التهاب ما حول الزرعات
التهاب مخاطية ما حول الزرعة
نقص نمو منطقة الأسنان والفك والوجه
أكياس الفك
تطبيقات الزركونيوم
علاج الزرعات
تطبيقات البورسلين
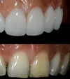
قشور الفينير
مجالات التخصص
طبيب أسنان