
تخرّج من كلية طب الأسنان بجامعة إسطنبول وحصل على لقب طبيب الأسنان. بعد التخرج، بدأ عمله في قسم علاج الأسنان التعويضي في كلية طب الأسنان تشابا، حيث يواصل حالياً دراساته الأكاديمية والسريرية. بالإضافة إلى أبحاثه الأكاديمية، عمل بكثافة في العديد من العيادات في مجال طب الأسنان التجميلي وعلاجات مفصل الفك/علاج الصرير، ثم قام مع د. علي أردوغان بتأسيس عيادة تمادنت لصحة الفم والأسنان في عام 2017. بالإضافة إلى مواصلة أبحاثه الأكاديمية في تخصصاته مثل طب الأسنان التجميلي، والتركيبات السنية الجمالية الكاملة، وعلاجات مفصل الفك/الصرير، يواصل أيضاً تطبيقاته السريرية في طب الأسنان بكثافة.
مجالات الاهتمام
صرير الأسنان
تسوس الأسنان
نزيف اللثة
ألم الأسنان
أمراض الأسنان واللثة
فقدان الأسنان
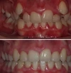
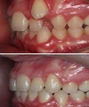
اعوجاج الأسنان
رائحة الفم الكريهة
الأسنان المكسورة
تسوس الأسنان عند الأطفال
تسوس أسنان الحليب
علاج قناة أسنان الحليب (البتر)
ضرس العقل المدفون
تغير لون الأسنان
الجير السني
خراج الأسنان
خراج اللثة
الخوف من طبيب الأسنان (رهبة طبيب الأسنان)
مجالات التخصص
طبيب أسنان