
بدأت دراستي الجامعية في كلية طب الأسنان بجامعة حاجت تبه عام 2002. أصبحت طبيب أسنان في عام 2007. بعد إكمال أول سنتين ونصف من دراسة الدكتوراه في تخصص طب الأسنان التقويمي في قسم تقويم الأسنان بكلية طب الأسنان بجامعة غازي، واصلت دراستي في قسم تقويم الأسنان بكلية طب الأسنان في جامعة مرمرة. في مارس 2013 حصلت على لقب 'دكتوراه في التقويم' و'أخصائي تقويم الأسنان'. أكملت تخصصي في هذا المجال. عملت أيضًا كأخصائي تقويم الأسنان بدوام جزئي في قسم صحة الفم والأسنان في مستشفى أجيبادم كوزياتاغي. منذ عام، أُقدم خدمات العلاج التقويمي في عيادتي في نيشان تاشي.
مجالات الاهتمام
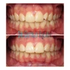
ازدحام الأسنان
عيوب الإطباق من الفئة الثالثة
عيوب الإطباق من الفئة الثانية
مشاكل هيكلية
الإطباق المفتوح
ضيق الفك
مشاكل مفصل الفك
مجالات التخصص
تقويم الأسنان
طبيب أسنان