
الدكتور يالتشين غينتش من مواليد بولُو عام 1973. بعد تخرجه من جامعة غازي، أسس مع زملائه مركز دينتابول في عام 1997. بالإضافة إلى العديد من الدورات والندوات داخل وخارج البلاد، أكمل برنامج الماجستير في زراعة الأسنان الفموية بجامعة ماركوني/معهد إستيتوتو ستوماتولوجيكو توسكانو.
مجالات الاهتمام
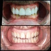
ألم الأسنان
تسوس الأسنان
نقص الأسنان
نزيف اللثة
صرير الأسنان
اعوجاج الأسنان
أمراض الأسنان واللثة
التهاب محيط الزرعات (Periimplantitis)
التهاب الغشاء المخاطي المحيط بالزرعة (Peri-Implant Mucositis)
نقص نمو الفكين ومنطقة الوجه والفم
أكياس الفك
تطبيقات الزركونيوم
علاج الزرعات السنية
تطبيقات البورسلين
اللامينيت فينير
مجالات التخصص
طب الأسنان