
تخرجت الدكتورة أحتر أيدوغدو من كلية طب الأسنان الإنجليزية في جامعة مرمرة عام 2001. عملت في مستشفى أوسكودار الخاص بين عامي 2000-2002، وفي مستشفى عمليقيا أومور عام 2003، وفي الوحدة العسكرية في باتمان عام 2004، وفي عيادة بغداد كاديشي كيزيلتوبرك عام 2005. ومنذ عام 2006 تقدم خدماتها في مركز ديشافي لصحة الفم والأسنان.
مجالات الاهتمام
صرير الأسنان
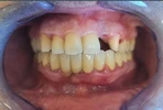
تسوس الأسنان
نزيف اللثة
ألم الأسنان
أمراض الأسنان واللثة
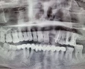
نقص الأسنان
ازدحام الأسنان
رائحة الفم الكريهة
التهاب ما حول الغرسة (periimplantitis)
نقص نمو منطقة الفك والوجه والفم
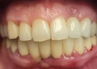
زراعة الأسنان
المدارس / الدورات التدريبية
كلية طب الأسنان الإنجليزية بجامعة مرمرة
مجالات التخصص
طبيب/ة أسنان