
تخرجت في عام 2019 من كلية طب الأسنان بجامعة مدبول. في نفس العام، افتتحت عيادتي الخاصة وبدأت حياتي المهنية. منذ ذلك الحين، أهدف إلى تقديم حلول ترضي مرضاي من حيث الصحة والمظهر.
أحرص على الالتزام بالقيم الأخلاقية في مهنتي، وعلى متابعة أحدث طرق العلاج والتطورات التكنولوجية عن كثب. أقدم خدماتي بشكل خاص في مجالات طب الأسنان، وتطبيقات الزرع، وعلاجات الأسنان العامة.
من المهم جدًا بالنسبة لي أن أتعامل مع كل مريض بشكل فردي، وأن أقدم لهم المعلومات الصحيحة، وأن أدير عملية العلاج بأمان واطمئنان. أدعوكم أيضًا إلى عيادتي من أجل ابتسامة صحية وطبيعية.
مجالات الاهتمام
ألم الأسنان
تسوس الأسنان
فقدان الأسنان
نزيف اللثة
صرير الأسنان
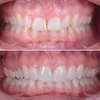
ازدحام الأسنان
أمراض الأسنان واللثة
التهاب الأنسجة حول الزرعة (Periimplantitis)
التهاب الغشاء المخاطي حول الزرعة (Peri-Implant Mucositis)
نقص النمو في منطقة الأسنان والفك والوجه
كيسات الفك
تطبيقات الزركونيوم
علاج الزرع
تطبيقات البورسلين
العدسات اللاصقة التجميلية (Laminate veneer)
مجالات التخصص
طبيب أسنان