
وُلد في سالهلي، مانيسا عام 1975. أكمل تعليمه الثانوي في ثانوية سكينة إفرن الأناضولية في سالهلي، وأنهى تعليمه العالي في كلية طب الأسنان بجامعة إسطنبول وتخرج بنجاح في عام 1999.
في نفس العام بدأ عمله كعضو هيئة تدريس مساعد في قسم صحة الفم والأسنان المجتمعية بكلية طب الأسنان بجامعة إسطنبول، وأكمل دراسة الماجستير في قسم الصحة العامة بكلية الطب سيراباشا بجامعة إسطنبول بدرجة ممتازة في عام 2003. خلال فترة التعليم الأكاديمي التي استمرت أربع سنوات عمل كمحاضر في كلية طب الأسنان بجامعة يديتيبه، ونال فرصة العمل في عدة عيادات خاصة مختلفة.
مجالات الاهتمام
تسوس الأسنان
صرير الأسنان
نقص الأسنان
ألم الأسنان
نزيف اللثة
أمراض الأسنان واللثة
رائحة الفم
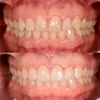
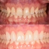
اعوجاج الأسنان
التهاب ما حول الغرسات السنية (Periimplantitis)
ضعف تطور الفك والوجه ومنطقة الأسنان
الخبرات
مستشفى عثمان أوغلو (حالياً)
مركز كوزمودنت لطب الأسنان وزراعة الأسنان
عيادة غولومسه لطب الأسنان
المدارس / الدراسات
كلية طب الأسنان بجامعة إسطنبول
قسم صحة الفم والأسنان المجتمعية بكلية طب الأسنان بجامعة إسطنبول
كلية الطب سيراباشا بجامعة إسطنبول قسم الصحة العامة
مجالات التخصص
طبيب أسنان