
تخرجت من كلية طب الأسنان بجامعة مرمرة في عام 2008. في نفس العام، بدأت دراسة الدكتوراه في قسم علاج الأسنان التعويضي بكلية طب الأسنان بجامعة مرمرة. في عام 2010 تركت الجامعة، وعملت في عيادة أسنان خاصة في إيتيلر حتى افتتحت عيادتي الخاصة في عام 2011. منذ عام 2011، أعمل في عيادتي الخاصة مع زوجي أخصائي جراحة الفم والأسنان والفكين الدكتور أونور تشاوش. أواصل ممارسة مهنة طب الأسنان خاصة في مجالات طب الأسنان التجميلي وعلاجات الأسنان التعويضية.
مجالات الاهتمام
صرير الأسنان
تسوس الأسنان
ألم الأسنان
أمراض الأسنان واللثة
فقدان الأسنان
نزيف اللثة
اعوجاج الأسنان
رائحة الفم الكريهة
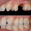
الترميم التجميلي (Bonding)
فينير اللومينيت (Laminate veneer)
طب الأسنان التجميلي
حشوة كومبوزيت
الزرع السني (Implant)
الأطراف الصناعية (Protez)
الزركونيوم
تيجان البورسلين الكاملة
واقي ليلي
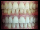
تبييض الأسنان
التبييض (Bleaching)
سد الشقوق (Fissur sealant)
تطبيق الفلور
علاج الجذور
التهاب دواعم السن (Periodontitis)
الخبرات
علاج الأسنان التعويضي بجامعة مرمرة (2008-2010)
عيادة صحة الفم والأسنان الخاصة إيتيلر 5/15 (2010-2011)
د. أونور تشاوش & نايمة سِكْمِن تشاوش – عيادة خاصة (2011-حتى الآن)
المدارس / التعليم
كلية طب الأسنان، جامعة مرمرة / 2008
مجالات التخصص
طبيب أسنان