Adwhit Logo
قم بتحميل التطبيق
ليصلكم كل جديد من عروض أدويت
دكتور إجيمن إيسين

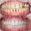
تساقط الأسنان

تخرج من جامعة إيجه طب الأسنان

مجالات الاهتمام

  • صرير الأسنان

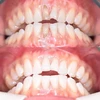
  • اعوجاج الأسنان

  • فقدان الأسنان

  • رائحة الفم الكريهة

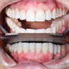
  • لامينيت

  • البورسلان المدعوم بالزركونيوم

  • تركيبات سيراميكية كاملة

التخصصات

  • علاج الأسنان التعويضي

  • طبيب أسنان

التقييم: 0 / 5
0 عملية تقييم
الصور
الاسم الكامل
دكتور إجيمن إيسين

العمر
36 سنة

الخبرة
اكثر من 10 سنة

العنوان
İstanbul / Esenler / Birlik mah.
الرئيسية
حسابي
اضافة عرض