
1969-1970 أنقرة ثانوية الجمهورية، 1970-1975 كلية طب الأسنان بجامعة إيجه، 2005 دكتوراه في قسم صحة الفم والأسنان المجتمعية بجامعة إسطنبول، رسالة الدكتورة بعنوان "نمذجة خطط التأمين المناسبة لظروف بلادنا في مجال صحة الفم والأسنان"، 1987-مستمر... عيادة خاصة في حي كوزياتاغي-شينسينفلر إسطنبول، 1976-1987 سنة واحدة في مركز صحي تابع لوزارة الصحة في منطقة ألاجا بمحافظة جوروم، 10 سنوات عمل في عيادة خاصة، منذ عام 1996 عضو في لجنة صحة الفم والأسنان المجتمعية ولجنة حقوق المستهلك في غرفة أطباء الأسنان في إسطنبول، وعضو لجنة حقوق المستهلك بالاتحاد التركي لأطباء الأسنان، وعضو لجنة إعداد "تخطيط القوى العاملة في طب الأسنان" في غرفة أطباء الأسنان بإسطنبول، وعضو لجنة تادس في مدرسة أوكشو موسى الابتدائية، 1997-2001 بيليكك-عثمانلي "مشروع تطبيق تعزيز قدرة صحة الفم والأسنان في تركيا"، المشاركة في المؤتمر الأول لصحة الفم والأسنان في بورصة، المؤتمر الأول لحقوق مستهلك طب الأسنان، المشاركة في مؤتمر تمويل وتنظيم وتقديم خدمات صحة الفم والأسنان في مرسين عام 2000، والمشاركة في مؤتمر جمعية حقوق المرضى الأول في مارس 2007، رئاسة بعض الجمعيات المهنية والاستشارات في المشاريع، وعضوية مجلس إدارة غرفة التجارة، ورئاسة نادي رياضي، ورئاسة وعضوية جمعيات الحماية...
مجالات الاهتمام
صرير الأسنان
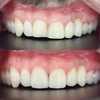
طب الأسنان التجميلي
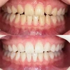
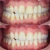
اعوجاج الأسنان
أمراض اللثة (نزيف اللثة، حركة الأسنان)
الأسنان المفقودة (تركيبات الجسر/الزراعة)
رائحة الفم الكريهة (الهاليتوزيس)
مجالات التخصص
طبيب أسنان
الصحة العامة