
د. ميليس حيدر باشا طبيب أسنان
مجالات الاهتمام
ألم الأسنان
تسوس الأسنان
فقدان الأسنان
نزيف اللثة
صرير الأسنان
اعوجاج الأسنان
أمراض الأسنان واللثة
التهاب ما حول الزرعة (Periimplantitis)
التهاب مخاطية ما حول الزرعة (Peri-Implant Mukositis)
قصور نمو منطقة الأسنان والفك والوجه
أكياس الفك
تطبيقات الزركونيوم
علاج الزرع
تطبيقات البورسلان
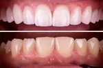
القشرة التجميلية (Laminate veneer)
مجالات التخصص
طبيب أسنان