Adwhit Logo
قم بتحميل التطبيق
ليصلكم كل جديد من عروض أدويت
د.  ياسين تورك

تراكم الصديد داخل السن

د. ياسين تورك طبيب أسنان

  • صرير الأسنان

  • تسوس الأسنان

  • اعوجاج الأسنان

  • ألم الأسنان

  • نزيف اللثة

  • أمراض الأسنان واللثة

  • رائحة الفم الكريهة

  • أكياس الفك

  • تقويم الأسنان

  • طبقة اللامينيت

  • الزركونيوم

مجالات التخصص

  • طبيب أسنان

التقييم: 0 / 5
0 عملية تقييم
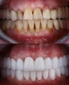
الصور
الاسم الكامل
د. ياسين تورك

العمر
54 سنة

الخبرة
اكثر من 10 سنة

العنوان
İstanbul / Kadıköy / Sahrayıcedit mah.
الرئيسية
حسابي
اضافة عرض