
وُلدت في عام 1990 في مدينة مودانيا. بعد إنهاء دراستها في ثانوية المالتيبي للعلوم، تخرجت في عام 2014 من كلية طب الأسنان بجامعة سليمان ديميريل مع مرتبة الشرف. خلال سنوات دراستها شاركت في العديد من برامج الطب الوقائي والفحوصات الجماعية لصحة الفم والأسنان بشكل تطوعي. ومنذ تخرجها تعمل في القطاع الخاص. انضمت إلى عائلة تيكدنت في عام 2016.
مجالات الاهتمام
ألم الأسنان
تسوس الأسنان
نقص الأسنان
نزيف اللثة
صرير الأسنان
ازدحام الأسنان
أمراض الأسنان واللثة
التهاب ما حول الغرسة
التهاب الغشاء المخاطي حول الغرسة
نقص نمو منطقة الأسنان، الفك والوجه
أكياس الفك
تطبيقات الزيركونيوم
علاج الزرع
تطبيقات البورسلين
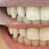
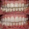
قشور الأسنان الخزفية (لامينيت فينير)
مجالات الخبرة
طبيب أسنان