
بدأ طبيب الأسنان بيرك غول عمله السريري مع والده مصطفى كمال غول، الذي كان طبيب أسنان أيضًا، فور تخرجه من كلية طب الأسنان بجامعة يديتيبيه عام 2007. ويتابع تكنولوجيا العصر عن كثب ويطبق طب الأسنان الرقمي في عيادته. تشمل اهتماماته تطبيقات الكاد-كام، وزراعة الأسنان الموجهة بدون خياطة باستخدام التنقل الديناميكي. ويستقبل مرضاه في عيادة دينتافيتا لطب الأسنان وفقًا لفهم متعدد التخصصات للعلاج. وهم يقدمون خدماتهم في نفس المنطقة منذ عام 1979.
مجالات الاهتمام
التهاب ما حول الزرعة السنية
صرير الأسنان
تزاحم الأسنان
نزيف اللثة
التهاب مخاطية حول الزرعة
قصور نمو منطقة الأسنان والفك والوجه
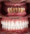
أمراض الأسنان واللثة
رائحة الفم
التهاب ما حول تاج السن
ألم الأسنان
نقص الأسنان
أكياس الفك
زرع الأسنان بدون خياطة
طب الأسنان الكاد-كام
صرير الأسنان (بركسزم)
بوتوكس العضلة الماضغة
زراعة الأسنان الموجهة
عدسات الأسنان (لامينا)
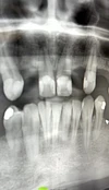
التصوير المقطعي للأسنان
تبييض الأسنان
الخبرات
عيادة خاصة
المدارس / التعليم
جامعة يديتيبيه - كلية طب الأسنان،
ثانوية بشكتاش أتاتورك الأناضولية
التخصصات
طبيب أسنان