
وُلِد في 27 نوفمبر 1978. درس المرحلة الابتدائية في تكيرداغ، وأكمل تعليمه المتوسط والثانوي في ثانوية كاديكوي الأناضول. أنهى تعليمه العالي في كلية طب الأسنان بجامعة إسطنبول في عام 2003.
مجالات الاهتمام
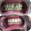
تسوس الأسنان
صرير الأسنان
أمراض الأسنان واللثة
ألم الأسنان
نزيف اللثة
فقدان الأسنان
اعوجاج الأسنان
رائحة الفم الكريهة
التهاب حول الزرعة السنية (Periimplantitis)
نقص نمو منطقة الأسنان والفك والوجه
الخبرات
2005-2007 / عيادة كان لطب الأسنان في كاديكوي
2007-حتى الآن / عيادة دنتهاوس لطب الأسنان
المدارس / الدورات التعليمية
ثانوية كاديكوي الأناضول
كلية طب الأسنان بجامعة إسطنبول
مجالات التخصص
طبيب أسنان