
د. إمره كوجاكاهيا طبيب أسنان
مجالات الاهتمام
ألم الأسنان
تسوس الأسنان
فقدان الأسنان
نزيف اللثة
صرير الأسنان
اختلال اصطفاف الأسنان
أمراض الأسنان واللثة
التهاب محيط الزرعة
التهاب مخاطية ما حول الزرعة
قصور نمو منطقة الأسنان والفك والوجه
كيسات الفك
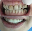
تطبيقات الزركونيوم
علاج الزرعات السنية
تطبيقات البورسلان
فينير اللاصق (Laminate veneer)
مجالات التخصص
طبيب أسنان