
د. أحمد بيركتاش طبيب أسنان
مجالات الاهتمام
ألم الأسنان
تسوس الأسنان
فقدان الأسنان
نزيف اللثة
صرير الأسنان
عدم انتظام الأسنان
أمراض الأسنان واللثة
التهاب ما حول الزرعة السنية (Periimplantitis)
التهاب مخاطية ما حول الزرعة (Peri-Implant Mukozitis)
قصور نمو الأسنان والفكين ومنطقة الوجه
أكياس الفك
تطبيقات الزركونيوم
علاج الزرع السني
تطبيقات البورسلين
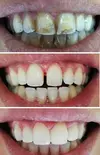
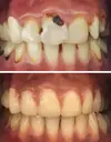
فينير اللامينيت
مجالات التخصص
طب الأسنان