
ولدت في إسطنبول عام 1977. تخرجت من كلية طب الأسنان، جامعة إسطنبول، تشابا عام 2000. خلال مسيرتي المهنية التي امتدت 22 عامًا، شاركت في العديد من الدورات التدريبية سواء داخل البلاد أو خارجها. من خلال تطوير نفسي في مجالي جراحة الزرع وعلاجات تقويم الأسنان، أسعى لتطبيق العلاجات الصحيحة والمفيدة لمرضاي.
تقديم جميع خدمات صحة الفم والأسنان لمرضانا وضمان مغادرة كل مريض عيادتنا بصحة وابتسامة هو جزء لا يتجزأ من فلسفتنا الطبية. في تشخيص وعلاج مرضانا، نعمل مع أطباء أسنان متخصصين تخرجوا من فروع التخصص ذات الصلة في كليات طب الأسنان، واكتسبوا خبرة في هذا المجال، ونستخدم جميع الإمكانيات التكنولوجية لطب الأسنان ونقدم خدمات وفقًا للمعايير الدولية.
مجالات الاهتمام
ألم الأسنان
تسوس الأسنان
نقص الأسنان
نزيف اللثة
صرير الأسنان
اعوجاج الأسنان
أمراض الأسنان واللثة
التهاب ما حول الزرعة (Periimplantitis)
التهاب مخاطية ما حول الزرعة (Peri-İmplant Mucositis)
نقص نمو الأسنان والفك والوجه
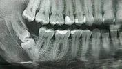
كيسات الفك
تطبيقات الزركونيوم
علاج الزرع
تطبيقات البورسلين
القشرة التجميلية (Laminate veneer)
مجالات التخصص
طبيب أسنان