
أقدم خدمات زراعة الأسنان، جراحة الفك، علاجات مفصل الفك وطب الأسنان في عيادتي الخاصة في إسطنبول - أتاشهير. أنا من مواليد إلازيغ. تخرجت في عام 2009 من كلية طب الأسنان بجامعة إسطنبول، التي التحقت بها في عام 2004. أكملت بنجاح تعليمي المشترك للدكتوراه بين جامعة إينونو وجامعة غازي، الذي بدأت فيه كمساعد في عام 2011، وحصلت على لقب أخصائي جراحة الفم والأسنان والفكين في عام 2015.
مجالات الاهتمام
الأسنان المطمورة
نقص الأسنان
مشاكل الفك
ألم الأسنان
نزيف اللثة
أمراض الأسنان واللثة
ازدحام الأسنان
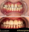
عدسات البورسلان (لامينا)
جراحة الجيب الأنفي
آلام مفصل الفك
تيجان بورسلان إمبريس
تيجان بورسلان الزركونيوم
الخبرات
مستشفى صحة الفم والأسنان في أتاشهير - إسطنبول، أخصائي جراحة الفم والأسنان والفكين
المدارس / الدورات التعليمية
كلية طب الأسنان بجامعة إسطنبول
دكتوراه جراحة الفم والأسنان والفكين - جامعة إينونو - جامعة غازي
جامعة كيس وسترن، كليفلاند، الولايات المتحدة الأمريكية - جراحة الفم والوجه والفكين (تعليم خارجي)
مجالات التخصص
جراحة الفم والأسنان والفكين
طبيب أسنان