
طب دواعم الأسنان (أمراض اللثة والجراحة) - زراعة الأسنان
مجالات الاهتمام
ألم الأسنان
تسوس الأسنان
فقدان الأسنان
نزيف اللثة
صرير الأسنان
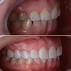
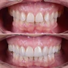
اعوجاج الأسنان
أمراض الأسنان واللثة
التهاب حول الزرعة السنية (Periimplantitis)
التهاب الغشاء المخاطي حول الزرعة (Peri-Implant Mucositis)
نقص نمو منطقة الأسنان والفك والوجه
كيسات الفك
تطبيقات الزركون
علاج الزرع
تطبيقات البورسلين
فينير اللامينيت
مجالات التخصص
طبيب أسنان