
أخصائية تقويم الأسنان د. ديريا ألتكين، وُلدت في أنقرة عام 1986. أكملت تعليمها الابتدائي والمتوسط في مدرسة أنقرة أفني آكيول الابتدائية، والثانوي في ثانوية غازي الأناضول. واصلت دراسة طب الأسنان بين عامي 2005-2010 في كلية طب الأسنان بجامعة أنقرة، ثم بدأت دراسة الدكتوراه في قسم تقويم الأسنان بنفس الكلية.
مجالات الاهتمام
ألم الأسنان
تسوس الأسنان
فقدان الأسنان
نزيف اللثة
صرير الأسنان
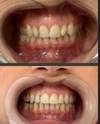
اعوجاج الأسنان
أمراض الأسنان واللثة
التهاب الغشاء المحيط بالزرعة (Periimplantitis)
التهاب مخاطية ما حول الزرعة (Peri-Implant Mucositis)
نقص نمو منطقة الأسنان والفك والوجه
أكياس الفك
تطبيقات الزركونيوم
علاج الزرعات السنية
تطبيقات البورسلين
عدسات الأسنان التجميلية (Laminate veneer)
مجالات التخصص
طبيبة أسنان