
د. دنيز تاراكتشي أوغلو طبيب أسنان
مجالات الاهتمام
ألم الأسنان
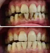
تسوس الأسنان
فقدان الأسنان
نزيف اللثة
صرير الأسنان
تزاحم الأسنان
أمراض الأسنان واللثة
التهاب حول الزرعة السنية (Periimplantitis)
التهاب مخاطية حول الزرعة (Peri-Implant Mukozitis)
نقص نمو منطقة الأسنان والفك والوجه
أكياس الفك
تطبيقات الزركونيوم
علاج الزرعات السنية
تطبيقات البورسلين
فينير اللومنات (Laminate veneer)
مجالات التخصص
طب الأسنان