
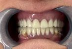
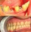
تخرجت بدرجة امتياز من كلية طب الأسنان بجامعة أنقرة في عام 2000. أنهيت تخصصي في جراحة الفك أيضاً في كلية طب الأسنان بجامعة أنقرة؛ بقسم أمراض وجراحة الفم والأسنان والفك، وحصلت على لقب جراح الفك في عام 2006. لدي شهادة في مجال طب الأسنان الشرعي. كوني خريجة جامعة أنقرة، أمتلك خلفية أكاديمية وعملية قوية. بعد التخرج، شاركت أيضاً في العديد من الدورات، والندوات، والمؤتمرات التي ساهمت في تطوري المهني بشكل احترافي. لدي تدريبات، منشورات، أطروحة، مقالات، وعروض تقديمية شفهية أقدمها بنفسي في مجالي وتخصصي. عملت لمدة 20 سنة كأخصائية جراحة فك في مراكز صحة الفم والأسنان، ومستشفيات الأسنان التابعة لوزارة الصحة في أنقرة، وفي رئاسة الجمهورية؛ كما شغلت منصب نائب رئيس الأطباء، ومساعد رئيس الأطباء، وإدارية في مراكز طب الأسنان التابعة لوزارة الصحة. خلال فترة جائحة كوفيد، شاركت في فرق تتبع الحالات في مديريات الصحة بالمقاطعة. إلى جانب ضغط المرضى العالي في مستشفيات صحة الفم والأسنان التابعة لوزارة الصحة؛ توليت مهام رئيس لجان متعددة كجودة الرعاية، لجنة حقوق المرضى، حقوق وسلامة الموظفين، لجنة العدوى، الشراء والمشتروات، ولجنة الصندوق الدوار. بعد 20 سنة خدمة في القطاع الحكومي، افتتحت حالياً عيادتي الخاصة حيث أعمل كجراحة فك. في عيادتي، أقدم خدمات متنوعة لمرضاي تشمل بالدرجة الأولى جراحة الفك (زرع الأسنان، خلع الأسنان المطمورة، عمليات الأكياس، بوتوكس الفك، صرير الأسنان، أمراض المفاصل...)، بالإضافة إلى أمراض الفم، العلاجات الوقائية (الحشوات والحشوات التجميلية)، العلاج اللبّي (علاج العصب)، التركيبات السنية، طب أسنان الأطفال، أمراض اللثة وطب الأسنان التجميلي. أتمنى لكم ابتسامات صحية وأياماً سعيدة.
مجالات الاهتمام
ألم الأسنان
تسوس الأسنان
نقص الأسنان
نزيف اللثة
صرير الأسنان
اعوجاج الأسنان
أمراض الأسنان واللثة
التهاب ما حول الغرسة السنية (Periimplantitis)
التهاب مخاطية ما حول الغرسة (Peri-Implant Mukozitis)
نقص نمو منطقة الأسنان والفك والوجه
أكياس الفك
تطبيقات الزيركونيوم
علاج الزرعات السنية
تطبيقات البورسلين
فينير القشرة التجميلية (Laminate veneer)
مجالات التخصص
طب الأسنان