
د. سادات تاشو طبيب أسنان
مجالات الاهتمام
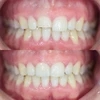
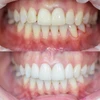
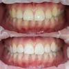
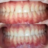
تزاحم الأسنان
رائحة الفم الكريهة
أمراض الأسنان واللثة
صرير الأسنان
تسوس الأسنان
ألم الأسنان
نزيف اللثة
فقدان الأسنان
التهاب ما حول الزرعات السنية (Periimplantitis)
نقص تطور منطقة الأسنان والفك والوجه
التهاب غشاء ما حول الزرعة السنية (Peri-Implant Mukositis)
مجالات التخصص
طبيب أسنان