
2011-2014 مستشفى أبحاث جامعة تشوكوروفا
منذ 2014 طبيب أسنان سريري
2014-2018 عيادة خاصة في أديامان
منذ 2018 مستوصف خاص في غازي عنتاب
مجالات الاهتمام
تسوس الأسنان
أمراض الأسنان واللثة
ألم الأسنان
فقدان الأسنان
نزيف اللثة
رائحة الفم
التهاب ما حول الغرسات (Periimplantitis)
صرير الأسنان
اعوجاج الأسنان
قصور نمو منطقة الأسنان والفك والوجه
التهاب محيط التاج (Perikoronitis)
أكياس الفك
الترابط (Bonding)
علاج أسنان الأطفال
علاج الجذور (Endodontics)
الأسنان المفلجة
اضطرابات الفك
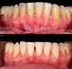
أمراض اللثة (Periodontology)
جير الأسنان
السن المكسور
طب أسنان الأطفال (Pedodontics)
الأسنان المعوجة
اضطرابات المفصل الصدغي الفكي (TME)
السن المصاب بآفة (مصاب بالعدوى)
كسور الأسنان
ضغط الأسنان
تقرح الفم (Aft)
تقرحات الفم
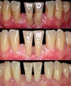
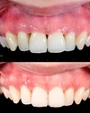
تصميم الابتسامة
تبييض الأسنان (Bleaching)
تطبيقات الأطراف الاصطناعية المتحركة
علاج الزرع السني
الخبرات
عيادة خاصة
المدارس / التعليم
كلية طب الأسنان بجامعة تشوكوروفا (2014)
مجالات التخصص
طبيب أسنان