
اكتسب الدكتور جيم بايسال شهرة كواحد من أفضل أطباء الأسنان في تركيا بفضل نهجه المبتكر في رعاية الأسنان. يجمع الدكتور بايسال بين سنوات من الخبرة الأكاديمية والتجربة العملية، وأصبح اسماً موثوقاً في مجالات تشخيص الفم، وزراعة الأسنان، والأشعة. يفضل المرضى من جميع أنحاء تركيا وأوروبا رعايته باستمرار لما يقدمه من نتائج استثنائية والتزامه بأحدث التقنيات.
مع عقود من الخبرة وشغفه بطب الأسنان المبتكر، يُعد الدكتور بايسال رائداً في تحسين رعاية الأسنان. ويشتهر بشكل خاص بأعماله في زراعة الأسنان، وجراحة الفم، والتقنيات الرائدة في رفع الجيوب الأنفية. هذا المزيج من المهارة والابتكار يجعله أحد أبرز أطباء الأسنان في تركيا اليوم.
مجالات الاهتمام
ألم الأسنان
تسوس الأسنان
فقدان الأسنان
نزيف اللثة
صرير الأسنان
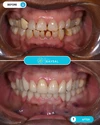
اعوجاج الأسنان
أمراض الأسنان واللثة
التهاب ما حول الزرعات
التهاب الغشاء المخاطي حول الزرعات
نقصان النمو في منطقة الأسنان والفك والوجه
أكياس الفك
تطبيقات الزركونيوم
علاج الزراعة
تطبيقات البورسلين
القشور الخزفية (لامينيت فينير)
مجالات التخصص
طبيب أسنان.