
تخرَّج دكتور الأسنان أوزغور أوندر من كلية طب الأسنان بجامعة غازي في عام 2001.
أدى الخدمة العسكرية بين عامي 2002 – 2003 كطبيب أسنان برتبة ملازم احتياط.
2003 – 2004 مستشفى عجي بادم باكركوي
عمل بين عامي 2004 – 2011 كمسؤول وطبيب في عيادة الأسنان بمستشفى عجي بادم كوزياتاغي.
مجالات الاهتمام
ألم الأسنان
تسوس الأسنان
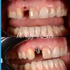
فقدان الأسنان
نزيف اللثة
صرير الأسنان
اعوجاج الأسنان
أمراض الأسنان واللثة
التهاب حول الزرعة
التهاب مخاطية حول الزرعات
نقص نمو الأسنان والفك ومنطقة الوجه
أكياس الفك
تطبيقات الزركونيوم
علاج الزرعات
تطبيقات البورسلين
فينييرز اللومنات
مجالات التخصص
طبيب أسنان