
طبيبة الأسنان عائشة غول سلجوق تخرجت من كلية تيد زونغولداك عام 1998 ومن كلية طب الأسنان بجامعة إسطنبول عام 2004. منذ عام 2008، تقدم خدمات طب الأسنان في جميع التخصصات في عيادتها الخاصة. تتقن اللغة الإنجليزية بشكل جيد والألمانية بمستوى متوسط.
مجالات الاهتمام
ألم الأسنان
تسوس الأسنان
نقص الأسنان
نزيف اللثة
صرير الأسنان
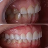
ازدحام الأسنان
أمراض الأسنان واللثة
التهاب ما حول الزرعة السنية (Periimplantitis)
التهاب مخاطية ما حول الزرعة السنية (Peri-Implant Mucositis)
نقص نمو منطقة الأسنان والفكين والوجه
كيسات الفك
تطبيقات الزركونيوم
علاج الزرع السني
تطبيقات البورسلين
لومينير الفينير (العدسات اللاصقة للأسنان)
مجالات التخصص
طبيبة أسنان