
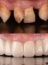
طبيبة الأسنان سيفدنور غولتن، من مواليد إزمير عام 1993. بعد تخرجها من ثانوية كهرمان مرعش للعلوم في عام 2011، بدأت مسيرتها في كلية طب الأسنان بجامعة إسطنبول. أنهت كلية طب الأسنان عام 2016 وبدأت ممارسة طب الأسنان في مستشفى هوسبيتينت لصحة الفم والأسنان، فرع الفاتح، ومنذ عام 2016 وما زالت تقدم خدماتها للمرضى في نفس العيادة. شاركت خلال مسيرتها التعليمية وبعدها في العديد من المؤتمرات والدورات التدريبية والندوات، وتتابع عن كثب أحدث التقنيات والمقاربات العلاجية. بالإضافة إلى تقديم جميع العلاجات السنية في العيادة، فهي تهتم بشكل خاص بعلاجات الأسنان التجميلية وتصميم الابتسامة وعلاجات البوتوكس. تقدم خدماتها للمرضى في مجالات تركيبات الزيركون، والقشور التجميلية (الفينيير)، وعلاجات الربط، وتطبيقات البوتوكس، وعلاج القنوات، والحشوات، وغيرها من تطبيقات طب الأسنان العامة.
مجالات الاهتمام
صرير الأسنان
تسوس الأسنان
ألم الأسنان
فقدان الأسنان
نزيف اللثة
أمراض الأسنان واللثة
رائحة الفم الكريهة
اعوجاج الأسنان
الربط (Bonding)
علاج جذور الأسنان (اندودونتكس)
الأسنان المتباعدة
أمراض اللثة (بيريدونتولوجي)
اضطرابات الفك
جراحة الليزر
جير الأسنان
الأسنان المكسورة
الأسنان المعوجة
التسكين (Sedation)
اضطرابات المفصل الفكي الصدغي (TME)
الأسنان المصابة (وجود آفة)
التقرحات الفموية
جروح الفم
الضغط على الأسنان
كسور الأسنان
الخبرات
مستشفى هوسبيتينت لصحة الفم والأسنان
المدارس / التعليم
كلية طب الأسنان بجامعة إسطنبول
مجالات التخصص
طبيبة أسنان