
الدكتورة إمينه ليمان بولادسوي تقدم خدماتها في مركز Radixdent لصحة الفم والأسنان.
مجالات الاهتمام
صرير الأسنان
نقص الأسنان
نقص تطور منطقة الأسنان والفك والوجه
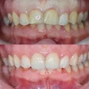
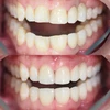
تسوس الأسنان
أكياس الفك
التهاب الغشاء المخاطي حول الزرعات
التهاب ما حول الزرعات السنية
التهاب حول تاج السن المنحصر (التهابات حول سن العقل)
أمراض الأسنان واللثة
اعوجاج الأسنان
ألم الأسنان
نزيف اللثة
اضطرابات الفك
المدارس / الدورات التعليمية
1984-1991 كلية طب الأسنان بجامعة حاجت تبه
مجالات التخصص
طبيبة أسنان