
سيجل بوداك ينركاراسو طبيبة أسنان
ألم الأسنان
تسوس الأسنان
نقص الأسنان
نزيف اللثة
صرير الأسنان
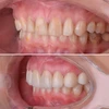
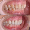
ازدحام الأسنان
أمراض الأسنان واللثة
التهاب ما حول الزرعة
التهاب الغشاء المخاطي حول الزرعة
نقص نمو منطقة الفك والوجه
أكياس الفك
تطبيقات الزركونيوم
علاج الزرعات
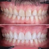
تطبيقات البورسلان
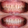
الفينير اللومنيري (صفائح الفينير)
مجالات التخصص
طبيبة أسنان